歯並びや噛み合わせの乱れは、見た目だけでなく、「食事・発音・清掃性」に影響する場合があります。

矯正治療により以下のような改善が期待できます。

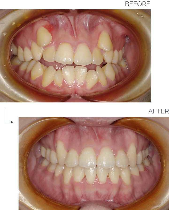
笑顔に自信が持てる

噛みやすくなり、食事をより楽しみやすくなる

発音が安定しやすい

歯磨きがしやすくなり、むし歯・歯周病予防に寄与

見た目の改善整った歯並びは清潔感を与え、第一印象を良くする要素になります。
機能改善噛み合わせが整うことで食べやすくなり、顎関節や姿勢への負担が軽減されることもあります。
予防効果歯磨きがしやすくなり、むし歯・歯周病のリスクを下げる効果が期待されます。
当院では、マウスピース矯正とワイヤー矯正のどちらも対応しており、患者様のご要望にお応えできる体制を整えております。お口の状況を診査診断した上で適切な治療法をご提案させて頂きます。


透明で目立ちにくく、取り外し可能。軽〜中等度の症例に適応。※装着時間を守る必要あり。

幅広い症例に対応できるスタンダードな方法。金属・セラミックブラケットなど選択肢あり。
| マウスピース矯正 | ワイヤー矯正 | |
|---|---|---|
| 目立ちにくさ | ◎ | △ |
| 取り外し可否 | ◎ | × |
| 痛み・違和感 | △(少なめ) | △〜○(個人差) |
| 対応症例数 | △〜○ | ◎ |
| 通院頻度 | 月1回 | 月1回 |
| 費用目安 | やや高額 | 標準 |
初回相談(無料)
精密検査(CT・スキャンなど)
診断・治療計画の説明
装置装着(マウスピースまたはワイヤー)
定期調整(月1〜2回)
保定期間・メインテナンス

叢生
(ガタガタ)
上顎前突
(出っ歯)
下顎前突
(受け口)
空隙歯列
(すきっ歯)
開咬
過蓋咬合
成人の方も年齢制限はありません。歯ぐきや骨の健康状態が良ければ何歳からでも可能です。
それぞれにメリットがあります。ワイヤー矯正は細かい動きや重度の症例に対応でき、確実な結果が得られます。マウスピース矯正は目立ちにくく取り外し可能なため、見た目や清掃性を重視する方に向いています。目的・ライフスタイルに合わせて選択します。
装置を調整した直後は、2〜3日ほど軽い違和感や痛みを感じることがあります。ただし多くの方は数日で慣れます。最近は弱い力でゆっくり動かす設計が主流のため、以前よりも負担は少なくなっています。
もちろんです。ワイヤー矯正では装置の周囲に汚れが溜まりやすいので、専用ブラシでのケアが大切です。マウスピース矯正では取り外して歯みがきできるため、比較的清掃しやすいです。どちらの場合も、定期的なクリーニングとフッ素ケアを行います。
はい。成長を利用できる時期に始めると、あごの発育誘導がしやすく、抜歯の可能性を減らせます。「早すぎても、遅すぎても良くない」ため、まずは矯正相談でタイミングを見極めましょう。
なります。成人でも骨の代謝は保たれているため、きれいに動かせます。ただし、歯ぐきの状態や歯周病の有無を確認しながら治療を進めることがポイントです。
子どもの矯正(Ⅰ期治療)は1〜2年程度。成人や永久歯列の矯正(Ⅱ期治療)はおよそ2〜3年が目安です。歯並びの状態や治療法によって異なります。
はい、歯は元の位置に戻ろうとする性質があります。そのため「保定装置(リテーナー)」を一定期間つけて安定させます。この管理をしっかり行えば、きれいな歯並びを長く維持できます。
お支払い方法
現金・クレジットカード・コード決済・銀行振込・デンタルローン
※自由診療となります。
※症例により異なることがあります。
※医療費控除の対象となる場合があります。

矯正治療の経験を持つ
歯科医師が担当

CT・口腔内スキャナー
完備

むし歯や歯周病治療を含め、
総合的な治療と連携が可能
岩手医科大学歯学部 卒
日本矯正歯科学会 所属
日本矯正歯科学会 認定医
矯正治療経験 10年〜














お悩みやご希望を丁寧に伺い、最適な方法をご提案します。
「ちょっと気になる」だけでも、どうぞお気軽にご相談ください。
⽉〜⾦ 9:00~17:30
土日祝 休診